Image Info Close
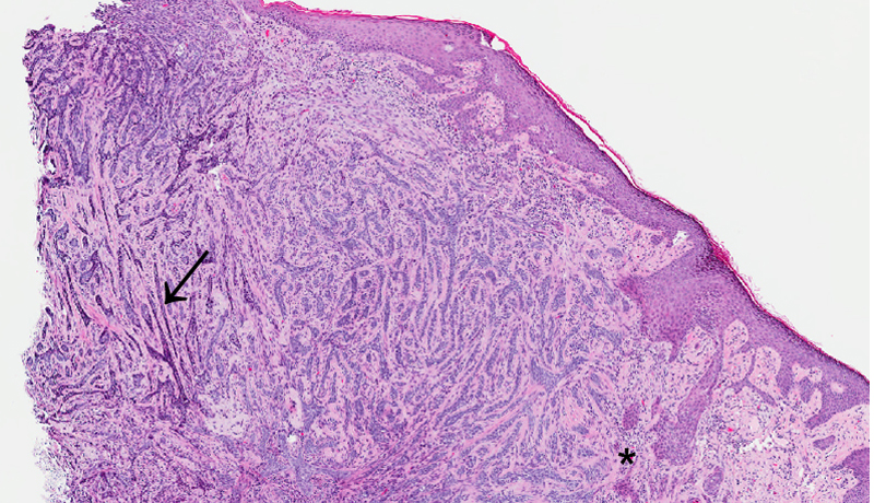
DISEASE: Basal cell carcinoma
PATHOGENESIS: Tumor cells originate from stratum basale or stratum germinativum of the epidermis.
HISTOLOGY FEATURES: Cords or Islands of basal cells with nuclear palisading of peripheral cell layer in the dermis. Retraction artifact may be seen as an empty space between the stroma and tumor island. Morpheaform (sclerosing type) shows islands and cords of flattened tumor cells in the dermis.
OCULAR FEATURES: Raised, pearly or rolled edges. Lower eyelid more common than upper eyelid. Medial canthus second most common site of involvement.
OTHER FEATURES: BCC accounts for 90% eyelid malignancies.
Image Info
Case 9