Image Info Close
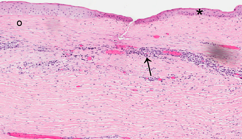
DISEASE: Corneal interstitial keratitis
PATHOGENESIS: Nonsuppurative inflammatory cell infiltration interlamellar spaces of corneal stroma. Transplacental infection of Treponema pallidum can cause. Other organisms: mycobacterium tuberculosis, mycobacterium leprae, borrelia burgdorferi, EBV, Herpes most common.
HISTOLOGY FEATURES: Bowman's usually absent. Stroma free of inflammation and find blood vessels do not contain blood. Descemet's membrane may be massive. Relucent strands and networks of basement membrane material are found on posterior corneal surface.
OCULAR FEATURES: General term of non ulcerative inflammation of corneal stroma.
Image Info
Case 14