Image Info Close
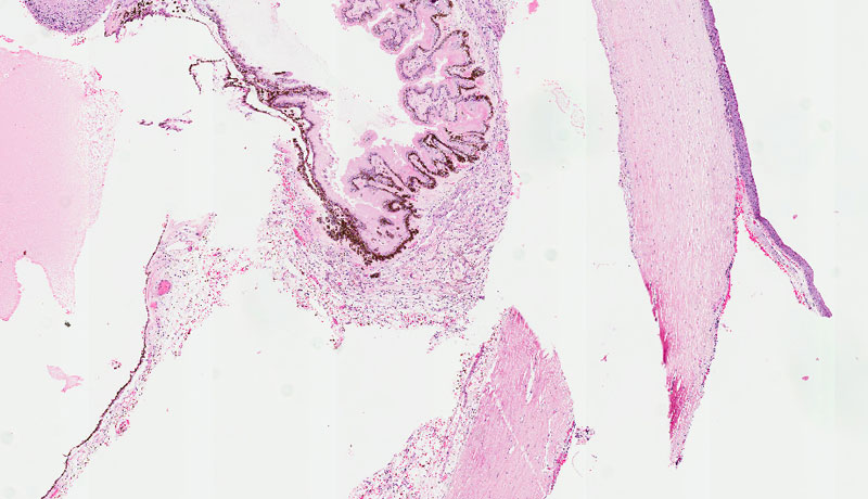
DISEASE: Pseudoexfoliation
PATHOGENESIS: Progressive accumulation of fibrillar material in tissues throughout the anterior segment that may be a stress-induced elastosis. Associated with mutations in lysyl oxidase-like 1 gene, LOXL1 on 15q24.
HISTOLOGY FEATURES: Abnormal, iron filings, appear on the anterior lens capsule. Pigmentation and small clumps of eosinophilic material in the anterior chamber. Iris pigment has a saw tooth configuration.
OCULAR FEATURES: Also known as an exfoliation syndrome. Typically occur in patients older than 50. Cause of secondary glaucoma with material in the trabecular meshwork.
Image Info
Case 32