Image Info Close
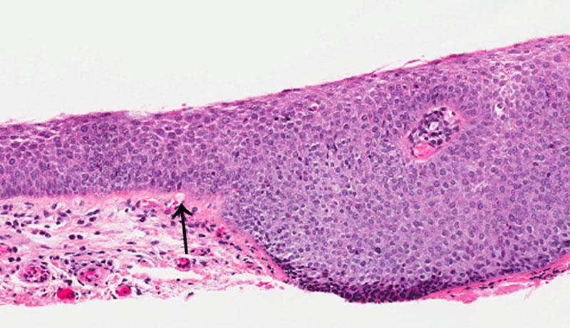
DISEASE: Conjunctival intraepithelial neoplasia
PATHOGENESIS: Conjunctiva replaced by the proliferation of a new clone of neoplastic cells from a mutation in the basal germ layer.
HISTOLOGY FEATURES: Atypical epithelial cells, hypercellular and basophilic. Thickened epithelium. Mitotic figures present. Transition from normal to neoplasia is abrupt.
OCULAR FEATURES: Typically occur near the limbus in the interpalpebral part of the conjunctiva. Leukoplakia (a sign of keratinization) may occur.
OTHER FEATURES: Risk factors include history of sun exposure. Can progress to invasive squamous cell carcinoma.
Image Info
Case 46